정밀 제작 정밀 스캔 정밀 결합

정밀한 기술을 기반으로
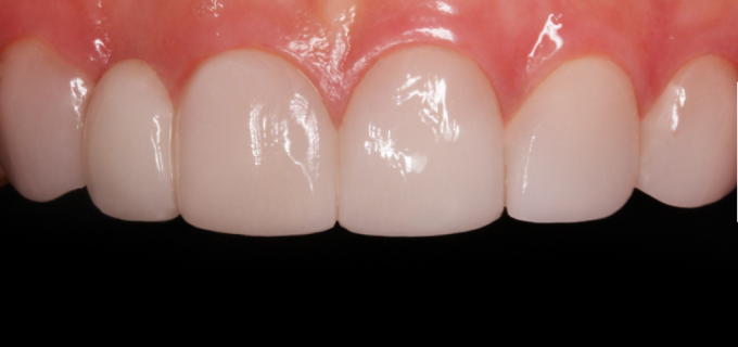
디테일이 다른 미니쉬

  • Detail 01

    오차를 없앤

    3D 구강스캔

    구강 스캔 후 모든 치아를 디지털 정보로 전환하여 본뜨는
    과정에서 발생하는 재료변형에 의한 오차를 줄였습니다.

  • Detail 02

    10년 넘게 오직 미니쉬만

    연구하고 만드는 사람들

    미니쉬 제작 한길만 걸었기 때문에
    재료의 특성을 이해하고
    섬세하게 만들 수 있습니다.
    베테랑 연구원들의 손을 거쳐
    명품 수복물이 완성됩니다.

  • Detail 03

    자연치아와

    완벽한 결합

    15만여 건의 임상 케이스를 통한 검증,
    치아와 치아의 경계를
    틈새없이 봉쇄하는 노하우가
    10년 이상 탈없는
    구강생활의 비결입니다.

왜 정밀해야 하는가?

정밀하지 않으면

탈이 나는 치료입니다

치아와 수복물, 잇몸과 수복물 사이의 틈을 완벽하게 매꿔야 합니다.
미세한 틈새라도 있다면 세균이 침투해 이시림, 통증, 잇몸 붓기 등
2차 손상을 일으킵니다. 이러한 부작용은 시술 직후가 아닌
시차를 두고 나타나기 때문에 건강한 구강환경을 위해서는 정밀성이 중요합니다.

완성도에 따라 결정되는
보철물의 수명

2012년

치료 전

2015년

미니쉬 3년 후

2020년

미니쉬 8년 후

  • Detail 04

    정밀하기에

    모든 치아에 적용 가능

    미니쉬의 초정밀 기술력으로 얇지만 정밀하게 제작되어 앞니는
    물론 어금니, 잇몸, 상실된 치아까지 복구가 가능합니다.

미니쉬 TYPE

증상별 적합한 미니쉬 타입은?
앞니, 잇몸 어금니까지 모든 증상에 적용 가능합니다.

구치부 미니쉬

광범위한 어금니 손상 회복

구치부 미니쉬 더 알아보기

핑크 미니쉬

손상된 앞니 및 잇몸 회복

핑크 미니쉬 더 알아보기

듀얼 미니쉬

광범위한 앞니 손상 회복

듀얼 미니쉬 더 알아보기

미니쉬 브릿지

상실된 치아 수복

미니쉬 브릿지 더 알아보기

16년간 사람들의
미소를 되찾아 준 미니쉬

치과 치료는 인체의 일부를 다루는 일이기 때문에
세심하고 정밀하게 이루어져야 합니다.
치과 이론에 대한 이해는 물론, 수많은 임상 사례와
다양한 케이스에 대한 노하우가 매우 중요합니다.
이는 의료진의 경험과 숙련도로 이어지며
치료 결과에 큰 영향을 미치기 때문입니다.

미니쉬치과 강남점에서는
정품 미니쉬만을
진행하고 있습니다.

미니쉬 상담하러 가기
1661-2854

연락주시면 상담을 도와드리겠습니다. 감사합니다.

상담 신청이 성공적으로 완료 되었습니다.

빠른 시일 내에 답변드리겠습니다. 감사합니다.

개인정보처리(취급)방침